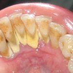
Khá nhiều người chủ quan trong việc chăm sóc răng miệng và cho rằng chỉ cần chải răng đều đặn hằng ngày là đã đảm bảo vệ sinh răng miệng một cách toàn diện. Đó là quan niệm sai lầm vì vi khuẩn hoạt động và diễn tiến trong môi trường răng miệng chúng ta không thể kiểm soát được. Lấy cao răng định kỳ là một biện pháp để phòng tránh các bệnh lý về răng miệng một cách hiệu quả.
Theo các bác sĩ nha khoa khuyến cao, mỗi chúng ta nên định kỳ lấy cao răng từ 3-6 tháng/lần mới có thể làm sạch được các mảng bám lâu ngày ở răng. Khi mảng bám này tồn đọng trên răng lâu ngày thì chải răng thường xuyên cũng không thể làm sạch được.

Hiện nay kỹ thuật nha khoa ngày càng phát triển mạnh mẽ với trình độ kỹ thuật ngày càng cao nên lấy vôi răng có khá nhiều biện pháp và đáp ứng nhu cầu của khách hàng. Một trong những biện pháp được bác sĩ đánh giá cao chính là kỹ thuật lấy vôi răng EMS. Kỹ thuật này là sự kết hợp giữa hai công nghệ là công nghệ lấy vôi răng và đánh bóng răng.
Sử dụng công nghệ EMS sẽ đi sâu vào tận khoang nha chu có độ sâu 10mm nên nó sẽ lấy đi toàn bộ vi khuẩn và các mảng bám tích tụ lâu ngày trên răng. Nếu không lấy sạch các mảng bám này thì đó là nguyên nhân gây nên bệnh viêm nha chu hoặc các bệnh sâu răng, viêm lợi…

Công nghệ Mini Piezon lấy vôi răng bằng khả năng dao động của sóng siêu âm tần suất cao với tốc độ với tốc độ lên đến 32000 dao động/s, chính vì vậy các mảng bám tích tụ lâu ngày sữ được đánh bật. Hơn nữa, các đầu insert không những loại bỏ các mảng bám đó rất hiệu quả mà còn có tác dụng hạn chế cảm giác đau đớn của bệnh nhân vì chúng hoạt động rất nhẹ nhàng và dịu êm. Sử dụng công nghệ này rất phù hợp với những bệnh nhân lo lắng chảy máu khi lấy cao răng.
Thời gian lấy cao răng bằng công nghệ Mini Piezon sẽ được rút ngắn, thông thường phải mất từ 45-50 phút mới hoàn thành xong việc lấy cao răng thì giờ đây bệnh nhân chỉ cần từ 10 – 15 phút là đã hoàn thành công việc trên một cách gọn nhẹ, an toàn và không đau đớn.

Sau khi lấy sạch cao răng, bác sĩ sẽ đánh bóng răng để tạo tính thẩm mỹ cho hàm răng. Các hạt muối khoáng EMS Powder Plus mịn màng cho nên không làm mài mòn răng, đồng thời còn có tác dụng làm sạch răng và tăng độ trắng sáng tối đa cho hàm răng của bạn.
Lấy vôi răng bằng kỹ thuật hiện đại rất đơn giản nên để đảm bảo sức khỏe răng miệng mọi người hãy định kỳ 3-6 tháng/lần đến cơ sở nha khoa tin cậy thực hiện lấy vôi răng một cách hiệu quả.











