NIỀNG RĂNG MẶT LƯỠI

Tư vấn cạo vôi răng

Tư vấn cạo vội răng sẽ giúp bạn hiểu hơn về cách thức cạo vôi răng, chi phí cạo vôi răng, cao vôi răng có đau không,… và những bệnh liên quan tới vấn đề cạo vôi răng mà bệnh nhân luôn thắc mắc.

Cạo vôi răng ở đâu tốt? Lưu ý gì khi tìm địa chỉ thăm khám

Cạo vôi răng ở đâu tốt? Lưu ý gì khi tìm địa chỉ thăm khám

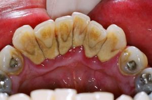
Cạo vôi răng ở đâu tốt? Răng của em có nhiều mảng bám gây mùi khó chịu và làm răng kém thẩm mỹ. Vì điều này nên em muốn thực hiện cạo vôi răng để được sở hữu hàm răng sạch khỏe. Tuy nhiên lại chưa biết nên lựa chọn nha khoa nào để cạo…

Đọc thêm >>
Lấy cao răng ở đâu an toàn? Tìm hiểu ngay

Lấy cao răng ở đâu an toàn? Tìm hiểu ngay

Lấy cao răng có ảnh hưởng không? Nha sĩ tư vấn

Lấy cao răng có ảnh hưởng không? Nha sĩ tư vấn

Cạo vôi răng tốt không? Có gây ê răng không?

Cạo vôi răng tốt không? Có gây ê răng không?

Kỹ thuật lấy vôi răng EMS

Kỹ thuật lấy vôi răng EMS

Lấy cao răng bao nhiêu tiền? Có đắt không?

Lấy cao răng bao nhiêu tiền? Có đắt không?

Lấy cao răng có đau hay không? Cần tư vấn

Lấy cao răng có đau hay không? Cần tư vấn

Top 5 câu hỏi về "cạo vôi răng có tốt không"

Top 5 câu hỏi về “cạo vôi răng có tốt không”

Bác sĩ tư vấn cạo vôi răng có bị chảy máu không

Bác sĩ tư vấn cạo vôi răng có bị chảy máu không

Cạo vôi răng hết bao nhiêu tiền cho 1 lần?

Cạo vôi răng hết bao nhiêu tiền cho 1 lần?

Có nên cạo vôi răng khi mang thai không bác sĩ?

Có nên cạo vôi răng khi mang thai không bác sĩ?

Theo bạn nên cạo vôi răng bao lâu một lần?

Theo bạn nên cạo vôi răng bao lâu một lần?

Cạo vôi răng mất bao lâu thời gian?

Cạo vôi răng mất bao lâu thời gian?

Cạo vôi răng có làm trắng răng không?

Cạo vôi răng có làm trắng răng không?

Răng yếu thì có nên cạo vôi răng không?

Răng yếu thì có nên cạo vôi răng không?

Cạo vôi răng có đau không? Có chảy máu nhiều không?

Cạo vôi răng có đau không? Có chảy máu nhiều không?

Lấy vôi răng có làm mòn răng không ?

Lấy vôi răng có làm mòn răng không ?

1 2