Tẩy trắng răng bị nhiễm tetracycline như thế nào? Là một trong những thắc mắc được nhiều người quan tâm đến và gửi câu hỏi về chuyên mục tư vấn Nha khoa. Cùng tham khảo bài viết dưới đây để lắng nghe các chuyên gia Nha khao nói gì về vấn đề này.
Nguyên nhân răng nhiễm Tetracycline
Nếu các mẹ mang thai hoặc trẻ em trước 7-8 tháng tuổi uống thuốc có Tetracycline sẽ khiến răng bị đổi màu khi lớn lên. Mức độ sậm màu của răng có thể nhiều hoặc ít tùy thời gian dùng thuốc, liều lượng dùng và loại thuốc nào. Vì vậy màu răng có thể có sự khác nhau như màu xanh, xám hay nâu, vàng…
Đối với những trường hợp nhẹ răng có thể bị nhiễm ở một vùng nhất định nào đó, hoặc răng có dải màu khác nhau nhưng nếu trường hợp nặng thì răng sẽ bị lỗ chỗ trông rất nham nhở, không còn được dáng vẻ bình thường.

Một số người răng bị nhiễm flour, nguyên nhân do flour thường được cho thêm vào nước máy sữa hay kem đánh răng để chống sâu răng. Tuy nhiên, nếu phụ nữ mang thai hoặc trẻ em dùng nhiều flour từ các nguồn trên thì sẽ khiến răng có vết nâu hoặc bị tráng đục. Từ đó gây ảnh hưởng đến cấu trúc răng.
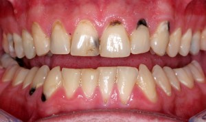
Những trường hợp răng bị nhiễm màu
Răng bị nhiễm màu thường gặp phải những trường hợp sau đây:
- Trường hợp 1: Răng bị nhiễm có màu vàng sậm.
- Trường hợp 2: Răng bị nhiễm ngã màu xám sậm.
- Trường hợp 3: Răng bị nhiễm ngả màu nâu, kèm thiểu sản men.
- Trường hợp 4: Răng bị nhiễm ngả màu xám – tím sậm, kèm thiểu sản men.

Kết quả phụ thuộc vào cơ địa của mỗi người (*)
Cách khắc phục tẩy trắng răng bị nhiễm tetracycline
Phương pháp hiệu quả để khắc phục răng nhiễm Tetracycline chính là tẩy trắng răng. Tuy nhiên, tẩy trắng răng chỉ phù hợp với những trường hợp răng nhiễm màu nhưng cấu trúc răng vẫn còn tốt, răng không bị sâu hay sứt mẻ. Với trường hợp răng bị nhiễm màu và cấu trúc răng không còn bền, bị sứt mẻ quá lớn thì cách khac phục tốt nhất chính là bọc răng sứ.
Hiện nay có nhiều loại răng sứ cho bạn lựa chọn như răng sứ kim loại, răng sứ titan và răng toàn sứ. Mỗi một phương pháp bọc răng sứ sẽ có những ưu điểm riêng biệt, vì vậy các bạn nên tìm hiểu kỹ để lựa chọn được địa chỉ Nha khoa uy tín nhằm thực hiện tẩy trắng răng bị nhiễm tetracycline mang lại kết quả như ý muốn.

Răng toàn sứ có ưu điểm là đẹp tự nhiên như răng thật, không đổi màu theo thời gian, không gây dị ứng và không có ánh xám kim loại ở cổ răng. Đặc biệt, răng toàn sứ được áp dụng bằng công nghệ CAD/CAM hiện đại nên quy trình thực hiện nhanh chóng, chính xác và chất lượng thẩm mỹ cao.
Những thông tin trên chúng tôi đã cung cấp liên quan đến việc tẩy trắng răng bị nhiễm tetracycline bằng những kỹ thuật mới. Mọi thắc mắc khác mọi người có thể gửi về chuyên mục tư vấn Nha khoa để được các chuyên gia hỗ trợ giải đáp cụ thể hơn.










