Niềng răng xong có bị hô lại không? Em có ý định niềng răng cho bớt hô để cải thiện thẩm mỹ. Nghe nói không phải ca niềng răng nào cũng mang lại hiệu quả. Lại thấy trên mạng sau khi niềng răng vẫn bị hô như thường khiến em hoang mang lắm. Mong được bác sĩ tư vấn về những thông tin này! (An An – Cần Thơ)
Chào An An!
Cảm ơn bạn đã tin tưởng chia sẻ khuyết điểm răng hô cũng như nguyện vọng niềng răng của mình về tại nha khoa. Để giúp bạn hiểu rõ niềng răng xong có bị hô lại không và nên niềng răng hô trong trường hợp nào hiệu quả, chúng tôi xin được tư vấn như sau:
Niềng răng hô có hiệu quả không?
Hô là tình trạng răng hàm trên chìa ra, không khép kín miệng. Răng hàm trên bao trùm lấy răng hàm dưới gây ảnh hưởng thẩm mỹ. Bên cạnh đó, răng hô cũng gây ảnh hưởng rất nhiều đến việc ăn nhai, khiến vấn đề vệ sinh răng miệng không được đảm bảo.

Niềng răng – chỉnh nha là phương pháp sử dụng các khí cụ hỗ trợ nắn chỉnh răng để giúp răng di chuyển từ từ về vị trí mong muốn trên cung hàm. Theo đó, niềng răng có thể áp dụng hiệu quả với các trường hợp sai lệch khớp cắn do răng gây ra, trong đó có khuyết điểm hô – móm.
Tuy nhiên, hô thường gặp phải bởi nhiều nguyên nhân chớ không phải liên quan đến vị trí răng bị sai lệch. Hô cũng có thể do xương hàm gây ra hoặc bởi cả 2 nguyên nhân trên. Do vậy, để xem niềng răng hô có hiệu quả không, bạn cần thăm khám và xác định nguyên nhân gây hô cụ thể.
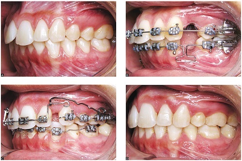
Niềng răng xong có bị hô lại không?
Nếu việc áp dụng niềng răng hô mang lại hiệu quả như mong đợi thì vấn đề niềng răng xong có bị hô lại không không còn đáng lo ngại nữa. Bởi niềng răng mang lại giá trị thẩm mỹ lâu dài. Bạn chỉ cần tham gia vào quá trình chỉnh nha 1 lần duy nhất là có thể cải thiện được tình trạng hô.

Niềng răng hô mang lại hiệu quả cao với những trường hợp hô do răng gây ra và duy trì kết quả này đến trọn đời. Vì vậy, thay vì lo lắng niềng răng xong có bị hô lại không, người bị hô do răng có thể yên tâm thực hiện niềng răng để sở hữu khớp cắn chuẩn, đồng thời ngăn ngừa các vấn đề răng miệng.
Điều cần lưu ý khi niềng răng
Để có quá trình niềng răng an toàn, thuận lợi và rút ngắn nhất thời gian mang khí cụ niềng chỉnh, bạn cần lưu ý một số vấn đề dưới đây:
– Tìm hiểu và lựa chọn địa chỉ nha khoa có bác sĩ giỏi, có hệ thống máy móc, công nghệ hiện đại, áp dụng quy trình niềng răng theo tiêu chuẩn, giá thành phải chăng…
– Thực hiện thăm khám và điều trị hết các vấn đề, bệnh lý nha khoa trước khi đeo niềng để tránh xảy ra viêm nhiễm hoặc hư hỏng răng.

– Tuân thủ đúng lịch tái khám và những chỉ định của bác sĩ chỉnh nha. Khi gặp bất kỳ vấn đề nào trong quá trình niềng răng, hãy liên hệ ngay với nha sĩ để được xử lý kịp thời.
Trên đây là thông tin tư vấn niềng răng xong có bị hô lại không, hy vọng đã giúp An An trút bỏ được thắc mắc của mình. Để có quá trình điều chỉnh răng hô thuận lợi, hiệu quả, bạn nên đến trực tiếp tại nha khoa để được bác sĩ thăm khám và đưa ra những thông tin tư vấn chính xác nhất trong từng trường hợp.








